ESTUDIO DE CASOS
Sinovitis vellonodular pigmentada de la rodilla con extensión extra articular. A propósito de un caso
Pigmented villonodular synovitis of the knee with extra-articular extension. Apropos of a case
Delgado Morales Juan Carlos*, García Estiven Adelaida**, Campbell Miñoso Madelyn***, Mukodsi Caram Miguel****
*Especialista de 1er grado en Medicina General Integral y Reumatología
**Especialista de 1er grado en Reumatología
***Especialista de 1er grado en Medicina General Integral
****Especialista 2do grado Administración de Salud
Hospital universitario clínico quirúrgico “Comandante Manuel Fajardo”
RESUMEN
Presentación de paciente con Sinovitis Vellonodular Pigmentada forma difusa localizada en Rodilla izquierda y extensión a los músculos gastronemios, varón, 42 años de edad, consulto por dolor e inflamación de tres años de evolución. Se palpo induración de 10 x 8 centímetros, dura, adherida a planos profundos en región posterior de pantorrilla. Resultado de medios diagnósticos: Radiológico, aumento de volumen de partes blandas de rodilla y pantorrilla izquierda. Se observan quistes subcondrales. Ultrasonido, acumulo de líquido sinovial en bolsa subcuadricipital, cambios degenerativos. Parte posterior de pantorrilla masa compleja con zonas de induración de aspecto tumoral que alternan con quísticas de contenido líquido, tabicados, siendo negativo al estudio citológico y bacteriológico del líquido, excepto elevado número de pigmentos de hemosiderina. Estudio anatomopatológico de tejido obtenido informa: material constituido por abundantes macrófagos con pigmentos en su interior, linfocitos maduros y abundantes células gigantes.
Palabras clave: Sinovitis Vellonodular Pigmentada, monoartritis
ABSTRACT
Presentation of a patient with Pigmented Villonodular Synovitis diffuse form located in left knee and extension to the gastrocnemius muscles, man, 42-year-old, consult by pain and inflammation of three years of evolution. It was palpating a nodule of 10 x 8 centimeters, hard adhered to deep planes in back region of calf. Result of diagnostic tests: Radiology, increase of volume of soft parts of knee and left calf. They observe subchondral cysts. Ultrasound, accumulate of liquid synovial in stock exchange subquadricipital, degenerative changes. Backside of the calf complex mass with zones of nodule of tumoral appearance that alternate with cystic of liquid content, with partition, being negative to the cytological and bacteriological study of the liquid, except high number of hemosiderin pigments. The anatomical and pathological study of tissue obtained informs: material constituted by abundant macrophages with pigments in his interior, mature and abundant lymphocytes giant cells.
Keywords: pigmented villonodular synovitis, monoarthritis
DESARROLLO
Ciertos tumores benignos y lesiones pseudo tumorales tienen su origen en la sinovial de las articulaciones y de las vainas tendinosas. 1,2 La Sinovitis Vellonodular Pigmentada es un proceso proliferativo benigno que conduce a una lisis de la articulación y del hueso. Su presentación clínica puede ser muy inespecífica. El diagnóstico es anatomopatológico, con gran variabilidad en la proporción de células mononucleares, células gigantes y células xantomatosas. 3,4 Ocasionalmente aparecen características especiales como figuras de mitosis que pueden llevar al diagnóstico erróneo de sarcoma sinovial. 5,6
Para muchos autores se trata de un fenómeno poco frecuente, fundamentalmente focal sin producir metástasis a distancia. Ocasionalmente se confunden con procesos benignos localizados en las proximidades de las vainas tendinosas, como son granulomas a cuerpo extraño, granulomas necrobióticos, xantomas tendinosos y fibromas de las vainas tendinosas. 7,8
Son raros los casos que se presentan con alteración nerviosa periférica. Se han descrito varios casos de sinovitis vellonodular pigmentada localizada en la cadera con afectación neurológica del nervio femoral. 9,10
Presentamos un caso poco frecuente de Sinovitis Vellonodular Pigmentada localizada en la rodilla que se extendió fuera de la articulación con infiltración de los músculos de la pantorrilla.
CASO CLÍNICO
Paciente varón de 42 años de edad con antecedentes de salud anterior, remitido a consulta de Reumatología por dolor y aumento de volumen de la rodilla izquierda de tres años de evolución.
A la exploración se observan signos inflamatorios de la rodilla y se palpa zona de induración de más menos 10 cm x 8 cm, de consistencia dura, adherida a planos profundos en proyección de la región posterior de la pantorrilla. Aumento de la vascularización de la pierna izquierda.
Los exámenes hematológicos realizados estuvieron dentro de límites normales.
Al Rayos X. de ambas rodilla se aprecia aumento de volumen de las partes blandas de la rodilla y pantorrilla izquierda.
Se observan quistes subcondrales en rodilla izquierda.
En Ultrasonido articular y de partes blandas se observa importante acumulo de líquido sinovial en bolsa sub cuadricipital, hipertrofia marcada de la sinovial, cambios degenerativos con afinamiento del cartílago articular, hacia la parte posterior de la pantorrilla en región de los gastronemios, masa compleja de 15 cm de largo por 6 cm de ancho con zonas de induración de aspecto tumoral que alternan con zonas quísticas de contenido líquido, tabicados, de aspecto crónico , se toman muestras de líquido y tejido de las zonas solidas por (Biopsia por Aspiración con Aguja Fina) BAAF guiada por US.
Informe de Anatomía Patológica: Material constituido por abundantes macrófagos con pigmentos en su interior, linfocitos maduros y abundantes células gigantes. Compatible con Sinovitis Vellonodular Pigmentada.
IMÁGENES
Obsérvese aumento de volumen de la rodilla izquierda y pantorrilla, así como de la vascularización de la pierna, la cual se extiende a la fosa poplítea y a lo largo de toda la pierna Imágenes 1, 2 y 3

Imagen 1. Aumento de volumen de la rodilla y pantorrilla izquierda, cambios en la red venosa superficial

Imagen 2. Obsérvese aumento de volumen de la fosa poplítea

Imagen 3. Aumento de volumen localizado en la pantorrilla
Rayos X ambas rodillas con aumento de volumen de las partes blandas de la rodilla y pantorrilla izquierda. Se observan quistes subcondrales en rodilla izquierda. Imagen 4

Imagen 4. Rayos X ambas rodillas donde se observa aumento de volumen de las partes blandas
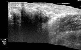
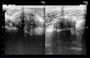
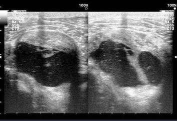
Ultrasonido articular y partes blandas, observándose imagen compleja en proyección de los músculos gastronemios con zonas solidas que alternan con imágenes quísticas tabicadas. Imágenes 5, 6 y 7

Imagen 5. Ultrasonido articular con imagen compleja

Imagen 6. Ultrasonido articular y partes blandas con zonas solidas que alternan con imágenes quísticas tabicadas

Imagen 7. Otra vista del ultrasonido articular que muestra zonas solidas que alternan con imágenes quísticas
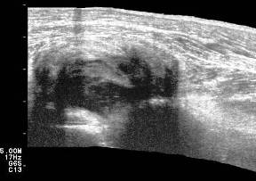
Ultrasonido de la rodilla donde se observa gran acumulo de líquido sinovial en bolsa sub cuadricipital, aumento de la celularidad del líquido, con imágenes de tabiques. Imagen 8

Imagen 8. Ultrasonido de la rodilla con acumulo de líquido sinovial
Se extrae líquido por aspiración de la articulación de la rodilla izquierda y de las lesiones quísticas de la pantorrilla, obteniéndose líquido que al examen macroscópico, presenta aspecto turbio de color pardo, al examen microscópico citológico y bacteriológico no se encuentran alteraciones patológicas excepto el color pardo y el elevado número de pigmentos de hemosiderina del mismo.
Aspecto del líquido sinovial e
xtraído de la articulación de aspecto xantomatoso de color pardo anaranjado. Imagen 9

Imagen 9. Líquido sinovial xantomatoso
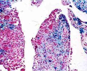
El tejido obtenido de las zonas solidas de la lesión tumoral compleja de la pantorrilla, al examen anatomopatológico informa: material constituido por abundantes macrófagos con pigmentos en su interior, linfocitos maduros y abundantes células gigantes. Compatible con Sinovitis Vellonodular Pigmentada. Imagen 10

Imagen 10. Proliferación de células sinoviales y células gigantes multinucleadas
El paciente se concluye como portador de una Sinovitis Vellonodular Pigmentada a forma difusa, con toma de la articulación de la Rodilla izquierda y extensión a partes blandas específicamente a los músculos gastronemios de la pantorrilla izquierda.
En este momento se encuentra pendiente de tratamiento quirúrgico por el grupo de ortopedia de tumores periféricos en el Hospital Ortopédico Docente Frank País.
BIBLIOGRAFÍA
Agudelo P de, Brigga P, Mendoca M, Mendoca JA, Arulay DR. Giant cell tumor of the tendon Sheath. AcadNacMed 1999;138(1):11-3.
CotranRamzi S, Kumar Vinay, Collins Tucker, Robbins. Patología estructural y funcional. 6 ed. Madrid: Mc Graw-Hill; 1999:1303-04.
Rochweger A, Groulier P, Curvale G, Launay F. Pigmented villonodularsynovitis of the foot and ankle: a report of eight cases. FootAnkleInt 1999;20(9):387-90.
Lobi KP, Low CK, Yap YM. Extraarticularvillonodularsynovitis of the tendoachilles: a case report. Ann AcadMedSingapure 1999;28(4):602-4.
Martin RC, Carbone DL, Edwuards MJ, Wrightod W, McMastols KM. Giant cell tumor of tendon sheath; tendosynovial giant cell tumor, and pigmented vellonodularsynovitis: defining the presentation, surgical therapy and recurrence. OncolRep 2000;7(2):413-9.
Dehler S, Passbender HC, Neureiter D, Meyer-Scholten C, Kircner T, Aigner R. Cell population involved in pigmented vellonodularsynovitis of the knee. J Reumatol 2000;27(2): 463-70.
Perka C, Labs K, Sippal H, Suttgerirt F. Localized pigmented vellonodularsynovitis of the knee joint: neoplasm or reactive granuloma? A review of 18 cases. Rheumatology 2000;39(2):172-8.
Somerhausen NS, Fleetcher CD. Diffuse-type-giant cell tumor: clinical pathologic and inmunohistochemical analysis of 30 cases with extrarticular disease. Am SurgPathol 2000;24(4):479-92.
Markniller M, Bohndorf E, Schoenainch P, Wagner T, Ruter A. Pigmented villonodularsynovitis. A rare diferential diagnosis of popliteal space-occupying lesion. Unfallchirurg 2000;103(4):236.
Cotten A, Demondion X, Boutry N, Chastanet P, Delfaut E. Imagining of tumoral and pseudotumoral synovial lesions. J Radiol 2000; 81(3suppl):381.
Los autores refieren no tener conflictos de intereses
Recibido el 10 de junio de 2012
Aprobado el 16 de julio de 2012
Contacto para correspondencia: Dr. Juan Carlos Delgado Morales E-mail: carlos.delgado@infomed.sld.cu
Párraga No 11, altos, entre Estrada Palma y Luis Estévez. 10 de Octubre. La Habana. Cuba. CP 10500